Chilaiditi Sendromu Belirtileri ve Tedavisi
Chilaiditi sendromu, kalın bağırsak ile karın duvarı arasındaki anormal yer değişimini ifade eder. Genellikle belirti vermez, ancak karın ağrısı ve bulantı gibi sorunlar ortaya çıkabilir. Tanı için görüntüleme yöntemleri kullanılırken, tedavi duruma göre izleme, medikal veya cerrahi müdahale ile yapılabilir. Erken tanı önemlidir.
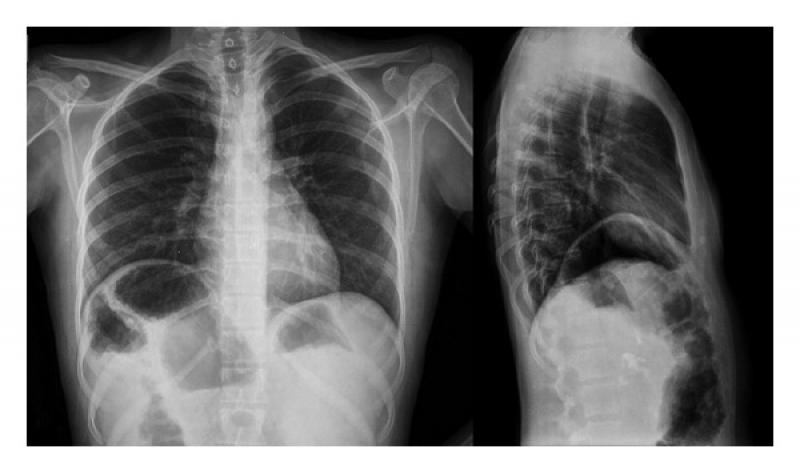
Chilaiditi Sendromu Belirtileri Ve Tedavisi Chilaiditi sendromu, kalın bağırsağın (kolonun) karın duvarı ve diyafram arasında anormal bir şekilde yer değiştirmesiyle karakterize edilen bir durumdur. Bu sendrom, genellikle röntgen veya diğer görüntüleme teknikleri ile tesadüfen tespit edilir. Çoğunlukla asimptomatik olup, bazı durumlarda belirtiler ortaya çıkarabilir. Chilaiditi Sendromunun Belirtileri Chilaiditi sendromu, genellikle belirgin belirtiler göstermeyen bir durumdur. Ancak, bazı bireylerde şu belirtiler görülebilir:
Bu belirtiler, sendromun varlığına işaret edebilir ve genellikle bağırsakların hareketliliği ile ilişkilidir. Özellikle, bağırsak tıkanıklığı durumunda acil müdahale gerekebilir. Chilaiditi Sendromunun Nedenleri Chilaiditi sendromunun kesin nedeni tam olarak bilinmemektedir. Ancak, aşağıdaki faktörlerin sendromun gelişiminde rol oynayabileceği düşünülmektedir:
Bu faktörler, kalın bağırsağın normal pozisyonunu kaybetmesine neden olabilir. Tanı Yöntemleri Chilaiditi sendromunun tanısı genellikle görüntüleme yöntemleriyle konur. Bu yöntemler arasında:
Röntgen, bağırsakların karın duvarı ile diyafram arasında yer aldığını gösterirken, BT taramaları daha ayrıntılı bilgi sağlayabilir. Tedavi Yöntemleri Chilaiditi sendromunun tedavisi, belirtilerin şiddetine ve hastanın durumuna bağlı olarak değişebilir. Tedavi seçenekleri arasında:
Cerrahi müdahale, bağırsakların normal pozisyonuna geri döndürülmesini veya tıkanıklığın giderilmesini içerebilir. Sonuç Chilaiditi sendromu, genellikle ciddi bir durum olmamakla birlikte, zaman zaman komplikasyonlara yol açabilir. Belirtiler ortaya çıktığında, bir sağlık uzmanına başvurmak önemlidir. Erken tanı ve uygun tedavi, hastaların yaşam kalitesini artırabilir ve olası komplikasyonları önleyebilir. Herhangi bir karın rahatsızlığı durumunda dikkatli olunmalı ve gerekli tetkiklerin yapılması sağlanmalıdır. |






































Chilaiditi Sendromu ile ilgili yaşadıklarımı paylaşmak istiyorum. Ben de bu durumu deneyimleyen birisi olarak, gerçekten zor bir süreçten geçtim. Doktorlarımın önerileri doğrultusunda birçok hastaneye gitmeme rağmen, tam olarak ne olduğunu anlamakta zorlandım. Karın ağrıları, bulantılar ve zaman zaman yaşadığım şiddetli sancılar, günlük yaşamımı olumsuz etkiledi. Hangi doktora gitsem, farklı önerilerle karşılaştım ve bu durum beni daha da umutsuz hale getirdi. Belirtilerin nedenini bulmak için birbirinden farklı birçok tetkik yapıldı, ama çoğu zaman sonuçlar belirsizdi. Chilaiditi Sendromu’nun belirtileri kişiden kişiye değişiyor gibi görünüyor ve bu durum beni daha da kaygılandırdı. Umarım deneyimlerimi paylaşarak, bu sendromu yaşayan diğer insanlara bir nebze olsun umut verebilirim. Bu süreçte destek arayışım sürüyor.
Deneyimlerinizi Paylaşmanız Önemli
İsade, Chilaiditi Sendromu gibi karmaşık bir durumla karşılaşmanın ne kadar zorlayıcı olabileceğini anlıyorum. Özellikle, sürekli değişen belirtiler ve farklı doktorların önerileri arasında kaybolmak, umutsuz hissetmenize yol açmış olabilir. Bu tür deneyimleri paylaşmak, diğer insanlara yalnız olmadıklarını hissettirebilir ve benzer zorluklarla başa çıkma konusunda bir dayanışma oluşturabilir.
Belirsizlik ve Kaygı
Belirtilerin kişiden kişiye farklılık göstermesi, tıbbi süreçte belirsizlik yaratabilir ve kaygı seviyenizi artırabilir. Bu noktada, kendinize karşı nazik olmalı ve sürecin zaman alabileceğini kabul etmelisiniz. Belki de bu deneyimlerinizi bir destek grubuyla paylaşmak, benzer zorluklar yaşayan insanlarla bir araya gelmek faydalı olabilir.
Destek Arayışınız
Destek arayışınızın devam etmesi, bu süreçte önemli bir adım. Kendinizi yalnız hissetmemek için çevrenizdeki insanlardan ve sağlık profesyonellerinden destek almaya devam edin. Umarım bu deneyimleriniz, hem kendinize hem de diğer Chilaiditi Sendromu ile mücadele eden bireylere umut ve cesaret verir.
AYNI RAHATSIZLIĞI YAŞIYORUM BIR ÇOK HASTAHANE GRZDIM ANCAK HIÇ BIR ÇARE BULAMADIM YARDIMLARINIZI BEKLIYORUM
Cengiz TAŞDEMIR,
Durumunuzu anlıyorum ve gerçekten zor bir süreçten geçtiğinizi hissediyorum. Umarım en kısa zamanda doğru tedavi yöntemini bulur ve sağlığınıza kavuşursunuz. Size yardımcı olabilecek uzmanlardan destek almanız konusunda ısrarcı olmanızı tavsiye ederim. Geçmiş olsun.